親知らずってどんな歯?
一番最後に一番最後に生えてくる奥歯です。
だいたい18歳くらいから生えてきます。
生えてくる際に痛みを生じることがあります
身体の生理的な変化なので、通常痛みはありません。
生える方向によっては痛むことがあります。
【痛くしない 優しい治療】志木市の、家族で通える歯科医院です。土曜日も診療!/駐車場・駐輪場完備
HOME ≫ 親知らず ≫
一番最後に一番最後に生えてくる奥歯です。
だいたい18歳くらいから生えてきます。
生えてくる際に痛みを生じることがあります
身体の生理的な変化なので、通常痛みはありません。
生える方向によっては痛むことがあります。
あります。親知らずが生える際に隣接する歯を押して動かし、その結果、歯並びが乱れることがあります。
歯並びの矯正の治療途中はもちろん、終了後においても、親知らずが生えることで隣接する歯を押して歯並びが乱れるために抜歯をします。
| 腫れ | 口の中では、歯並び最後方部の周辺の赤み、膨らみ、盛り上がり、頬の張り詰め、緊張など。 顔を外から見て、片側の頬の腫れ、顎のえらの部分の腫れ、顎から首にかけての腫れなどがあります 。 |
|---|---|
| 痛み | しみる、噛むと痛いの他に何もしなくても痛む、持続的な痛み、断続的な痛みなどがあります。 |
| 頭痛・肩こり | 頭痛や肩こりの原因の一つに親知らずがあると言われています。当院でも、上顎の親知らずを抜いた後で、それまで悩まされていた偏頭痛が改善された症例がありました。 |
| その他 | 出血、膿が出る、口臭、顎関節の不調などもあります。 |
CTを完備している歯科医院 痛みや不安などについて打ち明けやすい歯科医院をオススメします。
まず、しっかり検査をして、診断をしてから、親知らずの抜歯をするのか、いつが良いのか、どこでするのか、患者さんと相談します。
基本的に当院で抜歯可能ですが、大学病院を紹介することがあります。
口腔外科専門医院、大学病院に送る場合は
・骨内に完全に埋まっていう場合
・全身疾患のコントロールが必要な方の場合
・急性症状があって全身の管理を必要とする場合 です。
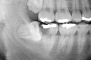
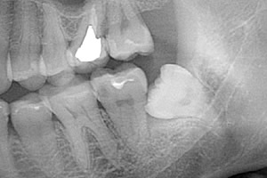
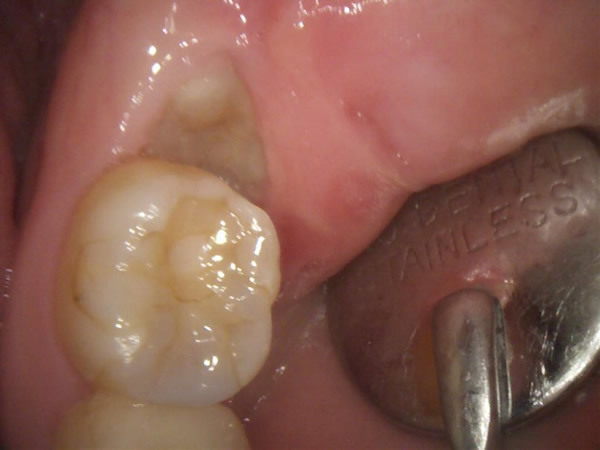
下の親知らずが歯ぐきから半分頭を出して生えている状態です。レントゲンで確認すると、親知らずがどのように生えているのかを確認できます。
下の親知らずが横向きに生えています。手前の歯を押して、手前の歯がいたんでいる状態です。
親知らずの抜歯の難易度は生え方によって様々です。
| 難易度 | ★ |
|---|---|
| 抜歯にかかる時間 | だいたい30分 |
| 抜歯にかかる費用 | 3000円程度 |
| 難易度 | ★★ |
|---|---|
| 抜歯にかかる時間 | だいたい30分~60分程度 |
| 抜歯にかかる費用 | 5000円程度 |
| 難易度 | ★★★ |
|---|---|
| 抜歯にかかる時間 | だいたい30分~60分程度 |
| 抜歯にかかる費用 | 5000円~8000円程度 |
噛み合わせる相手の歯が有る親知らずで、しかもきちんとお手入れができるのなら、虫歯の治療をします。
しかし、歯磨きが充分にできない、噛み合わせに参加していない、進行した虫歯、そのような場合は抜歯をお勧めします。
親知らずの生える場所や向きが良くないために、歯垢が溜まってしまう、また、噛み合わせの不適切な力がかかってしまう、そのような事が原因となって、その歯も他の歯も歯周病が進行することがあります。 この場合も親知らずの抜歯をお勧めします。
親知らずが生える力で、すでに生えている歯が押されて動き、歯並びが乱れる、ガタガタになるといったことがあります。
その予防のために親知らずの抜歯をお勧めすることがあります。
親知らずが引っかかって口が開けづらい、開けることができない、顎が痛いなど抜歯が必要な場合があります。
「親知らずだから抜歯」ではありません。 親知らずでも対合する上下の噛み合わせがあって、日々の衛生管理が充分に行える場合は他の歯と同様に治療します。 他にも、例えば、親知らずの手前の歯を抜歯して、そこへ親知らずを誘導するなど、親知らずそのものだけではなく、その置かれた環境によって考えます。
| 1.表面麻酔 |
| 2.浸潤麻酔(歯ぐきの中の麻酔) |
| 3.周辺の歯周組織の除去 |
| 4.抜歯 |
| 5.止血処置(必要に応じて縫合など) |
基本的には上記の流れですが、術前の診断により必要な処置(歯肉切開、剥離、骨の開削、歯の分割など)を経てから抜歯
| あざ・内出血 | 事前に「あざ、内出血」のリスクについて説明しますが、当院では滅多にありません 。 |
|---|---|
| ドライソケット | 抜歯の後、治りが悪くて持続的な痛み、さらに悪臭といったドライマウスの症状が出ることがあります。 当院では術前から対策を立てています。 |
| 上顎洞の感染 | 親知らずの抜歯が原因での感染は当院ではありません。 |
通常、腫れません。腫れる場合は、3日程度で治まります。高熱を伴う場合は、医院に連絡してください。

スマートフォンからのアクセスはこちら